โดย นพ.ชาคริต ศรีเจริญวณิชย์
ศัลยแพทย์เฉพาะทางด้านการผ่าตัดส่องกล้อง
โรงพยาบาลปากช่องนานา
ต่อมไทรอยด์ เป็นต่อมไร้ท่อมีลักษณะคล้ายผีเสื้ออยู่ส่วนล่างของกลางลำคอ มีหน้าที่สร้างฮอร์โมนไทรอยด์ ทำหน้าที่ในการเผาผลาญให้เกิดพลังงาน โดยทั่วไปจะแบ่งเป็นต่อมที่อยู่ข้างขวาและข้างซ้ายและจะมีแนวเชื่อมกันตรงกลางบริเวณหน้าหลอดลม
ต่อมไทรอยด์ทำหน้าที่ผลิตฮอร์โมนไทรอยด์ ซึ่งเป็นฮอร์โมนสำคัญที่ช่วยในการควบคุมระบบการเผาผลาญพลังงานในร่างกาย โดยร่างกายจะสามารถผลิตฮอร์โมนได้จากการสั่งงานจากสมอง ซึ่งสมองจะหลั่งฮอร์โมนมาควบคุมต่อมไทรอยด์ให้หลั่งฮอร์โมนไทรอยด์ได้อย่างถูกต้อง รวมถึงร่างกายต้องมีสารตั้งต้นในการผลิตฮอร์โมนไทรอยด์ คือ สารไอโอดีน ในปริมาณที่เพียงพอจึงจะทำงานได้ปกติ
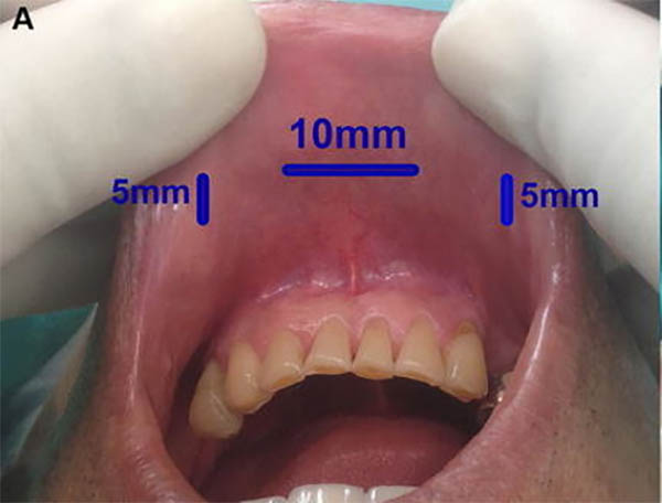
การผ่าตัดต่อมไทรอยด์เป็นหัตถการที่มักทำกับผู้ป่วยที่มีเนื้องอกที่ต่อมไทรอยด์ขนาดใหญ่มีการกดเบียดหลอดลมหรือหลอดอาหารทำให้หายใจหรือกลืนลำบาก หรือในก้อนเนื้องอกที่มีลักษณะต้องสงสัยว่าอาจเป็นมะเร็ง การผ่าตัดต่อมไทรอยด์ผ่านทางช่องปาก เป็นเทคนิคการผ่าตัดวิธีล่าสุดที่ได้รับการพัฒนาจนเป็นที่ยอมรับและได้รับความนิยมแพร่หลายไปทั่วโลก โดยในการผ่าตัดจะใช้เทคโนโลยีกล้องขนาดเล็กที่มีความละเอียดสูงช่วยในการผ่าตัด ทำให้แผลผ่าตัดมีขนาดเล็ก โดยแผลจะอยู่บริเวณด้านในของริมฝีปากล่าง ตรงกลางขนาด 1.5 เซนติเมตร และด้านข้างอีก 2 จุด
จุดเด่นของการผ่าตัดต่อมไทรอยด์ผ่านทางช่องปากจะไร้รอยแผลเป็น ซึ่งมีข้อดีคือ ไม่ก่อให้เกิดรอยแผลเป็นหลังการผ่าตัด ซึ่งแพทย์ผู้ทำการผ่าตัดสามารถทำหัตถการได้สะดวกและง่ายขึ้นจากการส่องกล้อง อีกทั้งยังลดระยะเวลาการผ่าตัดและทำให้คนไข้เจ็บปวดน้อยและฟื้นตัวเร็ว
ผู้ที่ป่วยด้วยโรคไทรอยด์ มักพบความผิดปกติที่สามารถเกิดได้ที่ต่อมไทรอยด์แบ่งเป็น 2 อย่างหลักๆ คือ
- ความผิดปกติที่ฮอร์โมน โดยความผิดปกติที่ฮอร์โมนอาจจะเกิดจากต่อมไทรอยด์ผลิตฮอร์โมนมากเกินไปหรือภาวะไทรอยด์เป็นพิษ และการผลิตฮอร์โมนที่น้อยเกินไป โดยอาจเกิดจากตัวต่อมไทรอยด์เองหรือส่วนของสมองที่ควบคุมการรักษาในกลุ่มนี้จะมีเป้าหมายเพื่อทำให้ฮอร์โมนไทรอยด์กลับมาปกติ โดยทั่วไปจะรักษาด้วยการให้ยา อาจจะมีผู้ป่วยบางรายที่จำเป็นต้องรักษาด้วยการกลืนแร่และการผ่าตัด
- ความผิดปกติที่บริเวณโครงสร้างและการมีเนื้องอกขึ้นมาในต่อมไทรอยด์
ในอดีตนั้น ประชากรประสบปัญหาการขาดสารไอโอดีน จึงมีผู้ป่วยจำนวนหนึ่งที่มีปัญหาต่อมไทรอยด์โตที่นิยมเรียกโดยทั่วไปว่า “โรคคอพอก” ซึ่งในกลุ่มนี้พอได้รับยารักษาก้อนจะยุบลง แต่ในปัจจุบันการขาดสารไอโอดีนพบได้น้อยมาก ผู้ป่วยส่วนใหญ่จึงมาด้วยก้อนเนื้องอกในต่อมไทรอยด์ที่ไม่ค่อยตอบสนองกับการได้รับยา
เมื่อผู้ป่วยมาพบแพทย์จะได้รับการตรวจด้วยอัลตราซาวนด์ และการเจาะตรวจเซลล์บริเวณเนื้องอกไปตรวจ เมื่อได้ผล แพทย์จะประเมินจากผลตรวจและแจ้งแนวทางการรักษา ซึ่งการรักษาเนื้องอกในต่อมไทรอยด์ จะแบ่งเป็นการติดตามอาการที่ผิดปกติ ขนาดก้อน การเจาะตรวจเซลล์บริเวณเนื้องอก และการผ่าตัด
เมื่อไหร่ถึงจะผ่าตัดต่อมไทรอยด์
ในการผ่าตัดในต่อมไทรอยด์จะทำต่อเมื่อมีข้อบ่งชี้ คือ ก้อนที่มีขนาดโตจนมีการกดเบียดอวัยวะข้างเคียง เช่น หลอดอาหารและหลอดลม ทำให้เกิดอาการกลืนลำบากหรือหายใจเหนื่อย, ก้อนที่มีลักษณะที่สงสัยว่าจะเป็นกลุ่มมะเร็ง และก้อนที่ผู้ป่วยต้องการที่จะผ่าตัดเนื่องจากสาเหตุต่างๆ เช่น ความสวยงาม เป็นต้น
โดยการผ่าตัดจะมีความเสี่ยงที่สำคัญแม้โอกาสเกิดขึ้นได้น้อย คือ เสียงแหบจากการบาดเจ็บต่อเส้นประสาทที่ไปเลี้ยงเส้นเสียง ซึ่งอยู่บริเวณใต้ต่อมไทรอยด์ ทั้งนี้ ผู้ป่วยควรสอบถามรายละเอียดความเสี่ยงต่าง ๆ จากการผ่าตัดกับแพทย์ที่เป็นผู้ผ่าตัดเป็นรายบุคคล
ในปัจจุบันยังมีการรักษาที่เป็นทางเลือกนอกเหนือจากการผ่าตัด เช่น การใช้คลื่นอัลตราซาวนด์ความเข้มข้นสูง (high intensity focus ultrasound : HIFU) ส่งคลื่นความร้อนผ่านบริเวณผิวหนังเข้าไปทำให้ก้อนบริเวณเนื้องอกเกิดการยุบตัว ลดขนาดของเนื้องอกลงได้ ประมาณ 20-70% อาจเป็นทางเลือกได้ในผู้ป่วยบางราย อย่างไรก็ตาม อาจมีรายละเอียดอื่น ๆ นอกเหนือจากที่ได้กล่าวไว้เบื้องต้น ผู้ป่วยจึงควรสอบถามข้อมูลอีกครั้งกับแพทย์ผู้ทำการรักษา
อย่างไรก็ตาม อาจมีรายละเอียดอื่น ๆ นอกเหนือจากที่ได้กล่าวไว้เบื้องต้น ผู้ป่วยจึงควรสอบถามข้อมูลอีกครั้งกับแพทย์ผู้ทำการรักษา
สำหรับโรงพยาบาลปากช่องนานา จะจัดงานเสวนา “รู้เท่าทันไทรอยด์ด้วยวิธีการรักษาสมัยใหม่” นำความรู้สู่ประชาชน โดยศูนย์ไทรอยด์ โรงพยาบาลปากช่องนานา จังหวัดนครราชสีมา ในวันอาทิตย์ที่ 22 มกราคม 2566 เวลา 08.00 -12.00 น. ณ ห้องประชุมเพชรปากช่อง ชั้น 6 อาคาร 100 ปี การสาธารณสุขไทย ประชาชนทั่วไปและผู้สนใจเข้าร่วมงานได้โดยไม่มีค่าใช้จ่าย




